Hazte miembro

Obtén las mejores ofertas y actualizaciones relacionadas con las Noticias

― Advertisement ―

spot_img

EyeMed Vision Care® y la Fundación The Vision Council continúan su colaboración para difundir el mensaje sobre la salud ocular

EyeMed Vision Care® y The Vision Council Foundation continúan su colaboración estratégica por segundo año consecutivo, basándose en su compromiso común de dar a...
InicioRETINA¿Debe reconsiderarse la indicación de suplementos AREDS en pacientes con DMAE?

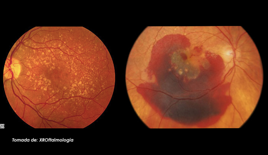
¿Debe reconsiderarse la indicación de suplementos AREDS en pacientes con DMAE?

En el marco de la 129.ª reunión anual de la Academia Americana de Oftalmología (AAO 2025), realizada en Orlando, Florida, un grupo de investigadores presentó evidencias que podrían modificar la comprensión actual sobre el papel de los suplementos AREDS y AREDS2 en el manejo de la degeneración macular asociada a la edad (DMAE).

Durante años, las vitaminas AREDS —una combinación de antioxidantes, zinc, cobre y pigmentos maculares como luteína y zeaxantina— han sido recomendadas a pacientes con DMAE avanzada, basadas en estudios que demostraban su capacidad para retrasar la progresión hacia formas húmedas de la enfermedad. Sin embargo, los nuevos hallazgos sugieren que estos suplementos no tendrían impacto significativo en la evolución de la atrofia geográfica (AG), la forma “seca” y más frecuente de la DMAE avanzada.

El Dr. Rishi P. Singh, próximo jefe del Departamento de Oftalmología del Mass Eye and Ear y del Mass General Brigham, lideró un equipo que reexaminó los datos de dos estudios recientes —OAKS y DERBY—, los cuales incluyeron más de 1.200 ojos no tratados y utilizaron técnicas modernas de imagen como autofluorescencia de fondo y tomografía de coherencia óptica (OCT).

“Nos sorprendió bastante”, señaló el Dr. Singh al presentar los resultados. “No encontramos ningún efecto significativo de la suplementación con AREDS o AREDS2 sobre la tasa de crecimiento de la atrofia geográfica ni sobre su progresión hacia la fóvea”.

Estos resultados contrastan con un reanálisis previo de los estudios AREDS y AREDS2, dirigido por Keenan y sus colegas, que había reportado una ralentización de la progresión de la atrofia geográfica hacia la mácula central entre 22 y 34 micrómetros por año. No obstante, los nuevos investigadores atribuyen esta aparente discrepancia a limitaciones en las técnicas de medición utilizadas en la década de 1990, particularmente la fotografía en color de fondo de ojo, menos precisa que los métodos actuales.

Un análisis independiente basado en los ensayos CHROMA y SPECTRI corroboró los resultados del grupo de Singh, reforzando la conclusión de que los suplementos vitamínicos no influyen en el crecimiento de la atrofia geográfica.

Estos hallazgos adquieren especial relevancia en el contexto actual, ya que dos fármacos aprobados por la FDA —pegcetacoplan y avacincaptad pegol— han demostrado ralentizar la progresión de la enfermedad, representando las primeras terapias efectivas para esta forma de DMAE, que afecta a más de cinco millones de personas en el mundo.

El Dr. Singh recomendó prudencia ante la evidencia disponible:

“Hasta que no haya más datos de estudios clínicos aleatorizados y prospectivos, no sabemos si los antioxidantes o los pigmentos maculares tienen beneficios reales sobre la atrofia geográfica. Por ahora, los pacientes deben conversar con sus médicos sobre las terapias aprobadas”.

La presentación generó amplio debate entre los especialistas asistentes al congreso, al cuestionar una de las recomendaciones más tradicionales en el manejo de la DMAE. Los expertos coinciden en que la discusión sobre los efectos reales de la suplementación AREDS debe mantenerse abierta, especialmente ante la disponibilidad de tratamientos con evidencia clínica sólida.

Con esta y otras presentaciones, la Academia Americana de Oftalmología (AAO) reafirmó su papel como escenario clave para la difusión de investigación científica y actualización clínica, reuniendo a más de 10.000 profesionales de todo el mundo en torno a los avances más recientes en el cuidado de la visión.